SMILE GALLERY

Real Results, Renewed Confidence

Smile Transformations

Before-and-After Smiles That Speak for Themselves

Smile makeovers are about more than appearance, they restore health, function, and self-assurance. Whether replacing missing teeth, correcting wear, or enhancing aesthetics, a complete smile brings harmony to your bite, comfort in everyday life, and confidence in every interaction. See the results below:



Bioclear Bonding Results

Improving Tooth Shape, Color, and Closing Spaces
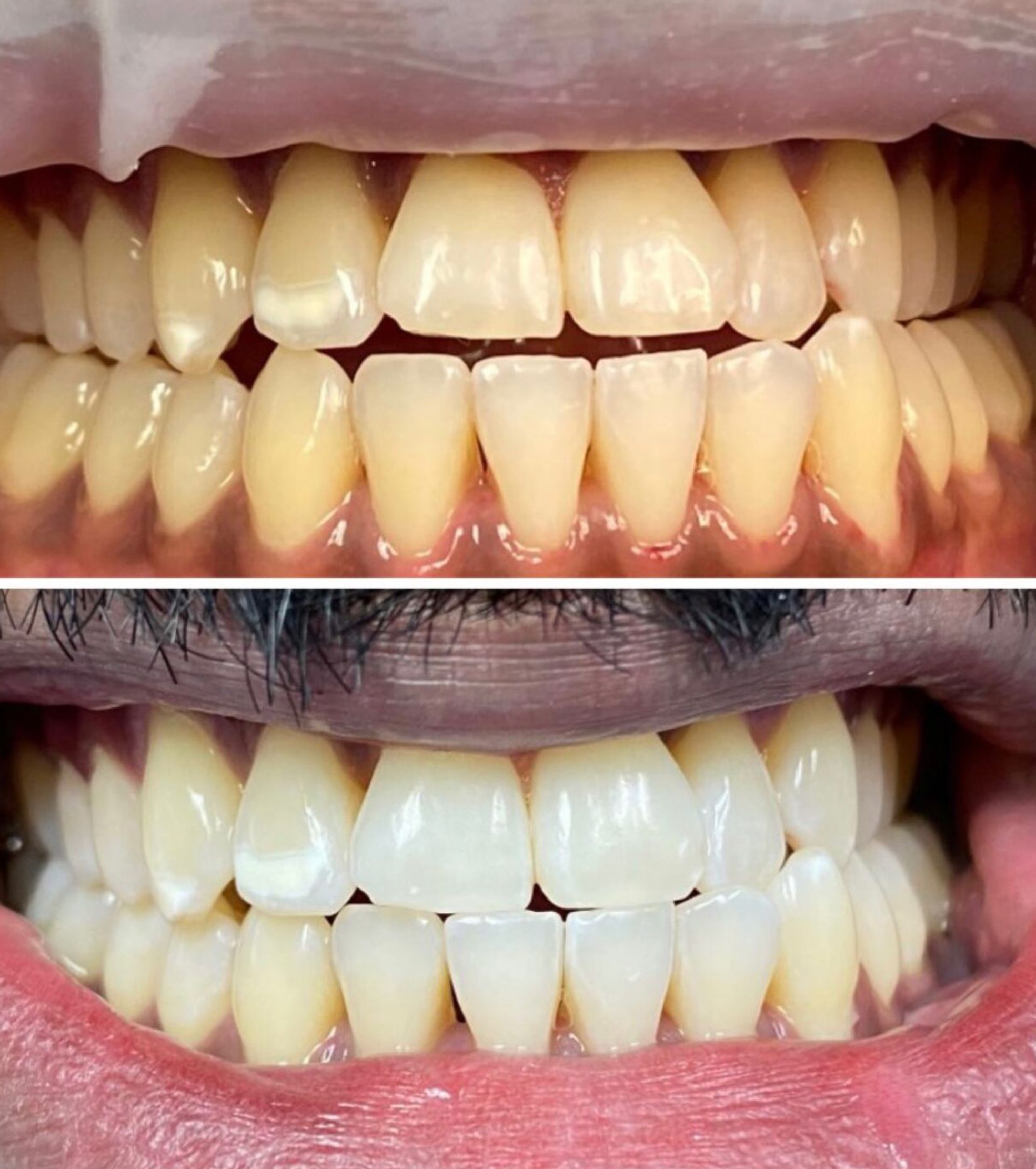
Laser Dental Bakersfield Smile Gallery
Close-up of teeth showing a gap between the top front teeth.
Close-up of teeth showing uneven wear and slight misalignment; mostly white with pink gums.
Laser Dental Bakersfield Smile Gallery
Close-up of teeth showing a gap between the top front teeth.
Close-up of teeth showing uneven wear and slight misalignment; mostly white with pink gums.
Laser Dental Bakersfield Smile Gallery
Close-up of teeth showing a gap between the top front teeth.
Close-up of teeth showing uneven wear and slight misalignment; mostly white with pink gums.
Laser Dental Bakersfield Smile Gallery
Close-up of teeth showing a gap between the top front teeth.
Close-up of teeth showing uneven wear and slight misalignment; mostly white with pink gums.
Laser Dental Bakersfield Smile Gallery
Close-up of teeth showing a gap between the top front teeth.
Close-up of teeth showing uneven wear and slight misalignment; mostly white with pink gums.
Laser Dental Bakersfield Smile Gallery
Close-up of teeth showing a gap between the top front teeth.
Close-up of teeth showing uneven wear and slight misalignment; mostly white with pink gums.
Close-up of a person's teeth showing a gap between the front teeth, and a pink gum line.
Close-up of an open mouth showing upper and lower teeth, some with dental work, against pink gums.
Close-up of a person's teeth showing a gap between the front teeth, and a pink gum line.
Close-up of an open mouth showing upper and lower teeth, some with dental work, against pink gums.
Close-up of a person's teeth showing a gap between the front teeth, and a pink gum line.
Close-up of an open mouth showing upper and lower teeth, some with dental work, against pink gums.
Close-up of teeth showing a gap between the top front teeth.
Close-up of teeth showing uneven wear and slight misalignment; mostly white with pink gums.
Close-up of a smile showing discolored and chipped front teeth.
Close-up of a smiling person's teeth, showing a gap between the front teeth, pink gums, and red lips.
Close-up of a person's teeth showing a gap between the front teeth, and a pink gum line.
Close-up of an open mouth showing upper and lower teeth, some with dental work, against pink gums.
Close-up of teeth showing a gap between the top front teeth.
Close-up of teeth showing uneven wear and slight misalignment; mostly white with pink gums.
Close-up of a smile showing discolored and chipped front teeth.
Close-up of a smiling person's teeth, showing a gap between the front teeth, pink gums, and red lips.
Close-up of a person's teeth showing a gap between the front teeth, and a pink gum line.
Close-up of an open mouth showing upper and lower teeth, some with dental work, against pink gums.
Close-up of a person's teeth showing a gap between the front teeth, and a pink gum line.
Close-up of an open mouth showing upper and lower teeth, some with dental work, against pink gums.
Close-up of a person's teeth showing a gap between the front teeth, and a pink gum line.
Close-up of an open mouth showing upper and lower teeth, some with dental work, against pink gums.

Complete Dentures

A Full Set of Teeth for Function and Confidence
Laser Dental Bakersfield Smile Gallery
Laser Dental Bakersfield Smile Gallery
Laser Dental Bakersfield Smile Gallery

Smile Makeover

Rebuilding Smiles, Restoring Confidence
Laser Dental Bakersfield Smile Gallery
Close-up of teeth showing a gap between the top front teeth.
Close-up of teeth showing uneven wear and slight misalignment; mostly white with pink gums.
Laser Dental Bakersfield Smile Gallery
Close-up of teeth showing a gap between the top front teeth.
Close-up of teeth showing uneven wear and slight misalignment; mostly white with pink gums.
Laser Dental Bakersfield Smile Gallery
Close-up of teeth showing a gap between the top front teeth.
Close-up of teeth showing uneven wear and slight misalignment; mostly white with pink gums.

Dental Crowns, Bridges and Porcelain Veneers

Durable, Natural-Looking Replacements for Damaged or Missing Teeth
Close-up of mouth with teeth; a front tooth has a noticeable dark filling.
Close-up of bright, white, aligned teeth in pink gums, demonstrating a perfect smile.
Close-up of a person's mouth showing unhealthy teeth with decay and discoloration.
Close-up of a person's smiling mouth, showing bright white teeth. Pink lips and gums are visible.
Close-up of a man's mouth, showing teeth with noticeable gaps, including a prominent space between the front teeth.
Close-up of a person's mouth, showing white teeth and a pink gum line. The upper front teeth have a slight gap.

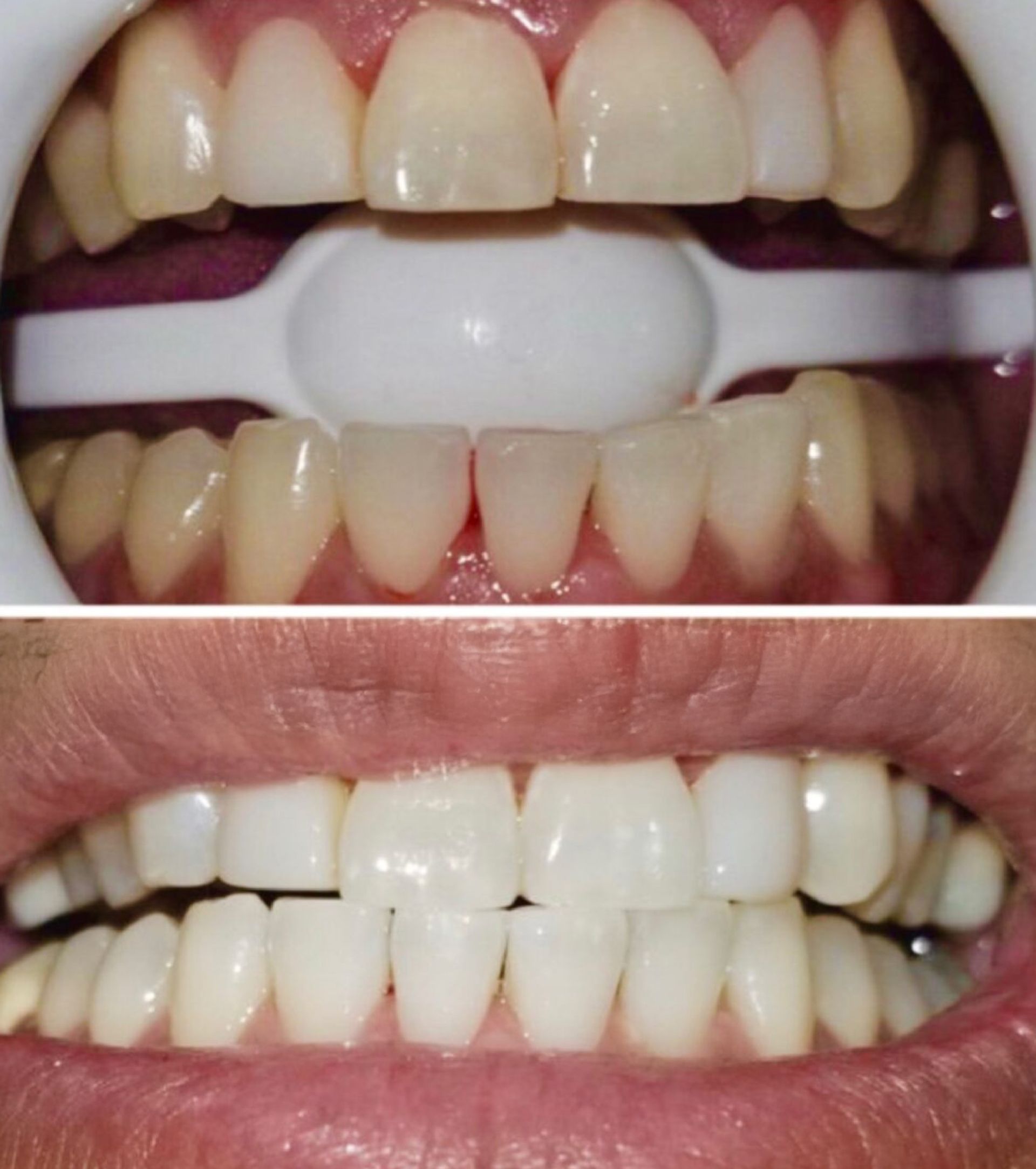
Laser Teeth Whitening and Treatments

Enhance Your Confidence with Professional Whitening
Close-up view of a person's teeth. The upper and lower teeth are visible, some yellowing.
Close-up of a person's teeth, showing slightly yellowed, well-aligned teeth.
Teeth being examined; a white dental retractor keeps mouth open.
Close-up of a person's mouth showing a row of bright, white teeth.